近日,四川大学华西医院胸外科团队完成了全省首例穿刺导航定位机器人辅助下肺结节射频消融手术。术后1天即出院。这将为多发肺结节(多原发肺癌)患者提供了一种安全可靠、极致微创的解决方案。

患者李女士今年47岁,2021年体检发现右肺多发结节,无咳嗽、咳痰、胸闷、胸痛等症状。后在当地医院及时进行胸腔镜下右肺上叶、中叶、下叶多处切除术,术后病理诊断均为腺癌。李女士术后一年发现右肺中叶新发磨玻璃结节,后定期随访发现结节呈增长趋势,考虑异时性多原发肺癌可能性大。

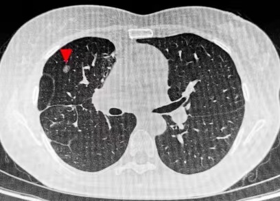
由于既往右肺手术切除范围大,且术后胸腔粘连,再次手术创伤大,患者多方辗转后被推荐前往华西医院就诊治疗。围绕患者病情,刘伦旭教授、蒲强教授、廖虎副教授团队经过讨论,总结为:第一,患者肺癌术后,双肺多发小结节,其中右肺中叶新发混合密度结节随访过程中逐渐增大,有干预指征。患者三年前已行手术切除右肺多处组织,为避免再次手术影响呼吸功能和生活质量,可考虑选择经皮穿刺的肺结节射频消融治疗。第二,该结节大小为0.8×0.6cm,体积较小,既往手术的吻合钉可能干扰穿刺路径,常规方法难度大、风险高,可选择可精准定位导航的机器人进行辅助穿刺。在与患者及家属充分沟通后,团队决定采用穿刺导航机器人辅助、联合CT完成肺结节射频消融术。
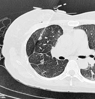
2024年8月11日,手术进行,首先将CT扫描实时数据导入穿刺导航机器人,并在机器人上规划预设好穿刺路径,通过呼吸门控技术过滤掉患者自主呼吸的影响,然后在机械臂红外激光的引导下进行穿刺,穿刺成功后行射频消融治疗。

手术用时半小时。术中采用局部麻醉,患者无明显不适,未出现气胸、血胸等并发症。术后观察,患者无特殊不适,顺利返回病房。术后1天复查胸片无特殊即安排出院。
手术是早期肺癌患者首选的治疗手段,然而对于多发结节(多原发肺癌),外科医生和患者本人常常陷入两难选择中:要么完整切除全部肿瘤,但是损伤大,生活质量差;要么部分切除肿瘤,但是肿瘤可能继续长大威胁生命。肿瘤介入消融是一种创伤小、对正常器官及组织损伤小、可重复使用的治疗手段,在小型肝癌、甲状腺结节等疾病中广泛运用。肺结节介入消融作为外科手术的补充,在胸外科的运用也越来越广泛。对多原发肺癌患者而言,如果肿瘤较大,临床评估恶性程度高的,可通过微创胸腔镜精准切除;如果肿瘤较小、恶性程度较低,且手术切除导致正常肺组织损失大的,可选择介入消融。
射频消融治疗技术创伤小、耐受性好,能最大程度保留肺功能,还可用于不能耐受手术的肺癌患者。如果肺部小结节,尤其是<1cm的磨玻璃结节介入穿刺难度大、风险高、学习曲线长,穿刺导航机器人的出现很好解决了这一难题。
四川大学华西医院胸外科开展穿刺导航机器人辅助穿刺消融,采用单孔胸腔镜精准切除+机器人导航精准消融治疗多原发肺癌,为多发结节(多原发肺癌)患者提供了效果明确、安全可靠、极致微创的全新解决方案。